마지막 사랑니를 뽑고 나서
오늘 치과에 다녀왔어. 내 마지막 사랑니를 뽑았지.
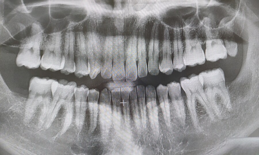
X레이 사진 상 오른쪽 위. 송곳니처럼 작게 자라난 사랑니. 원래 나는 이 사랑니만큼은 몸 안에 남겨두고 싶었어. 여타 사랑니와 달리 별 말썽을 부리지 않았고, 더해 ‘사랑니’라는 이름에서 오는 기운이 있었으니까. 이 사랑니마저 뽑으면 평생 사랑 못할 것 만 같은 미신이랄까...
그런데 오늘 갑자기 사랑니를 뽑은 이유. 내가 저 사랑니까지 철저히 관리할 자신이 없기 때문이야. 사랑니뿐만 아니라, 사랑니 앞에 어금니까지 자칫 관리소홀로 썩을 수 있다는 경각심이 날 휘감았어.
아무튼. 나의 마지막 사랑니.
뽑는데 10초 걸렸나? 뚝 퍽 끝. 허무할 정도였어. 발치 후 마취가 풀렸음에도 통증이 없다. 넌 떠날 때마저 청아하구나. 괜히 사랑니에게 미안하다.
여하튼. 사랑니 4개를 다 뽑았겠다, 더 이상 치과에 오고 싶지 않지만, 아직 난관이 남았어. X레이 사진 기준 왼쪽 아래 어금니에 충치. 하필이면 인접면 충치.
아직 신경까지 파고든 것은 아니라서 불편함은 없어. 그러나 치료하지 않고 놔두면 충치가 언제 신경까지 퍼질지 모르니까. 걱정이야.
그렇다고 치료하자니 생니 윗면까지 다 갈아내야 하고(인접면 충치라서), 설사 치료를 한다 해도 이후 지속적인 관리가 필요하대. 일례로 레진으로 때울 경우, 그 수명이 최장 7년 정도라네? 이후 레진 수명이 다 할 때마다 시술을 다시 받아야 한다니, 치료하는 순간부터 평생 치과에 속박 당한다는 뜻이잖아? 이럴 바에 내 스스로 자연이를 최대한 관리해 보고, 그래도 안 되면 임플란트를 받는 게 낫겠다 싶다니까.
아참. 대학병원에서는 레진으로 충치를 때우는데 개당 39만원을 불렀거든? 그런데 내 동네 단골 치과에서는 15만원이래. 이 혁혁한 가격 차이는 뭘까? 원래 이런 거야? 아시는 분?
한편 레진 치료 중에 ‘레진 빌드업’이란 게 있더라고.
만약 치료를 받는다면, 나는 레진 빌드업으로 받고 싶어. 과연 단골 치과에서 15만원에 해주겠다는 치료가 ‘레진 빌드업’일까? 레진 빌드업 치고 너무 저렴한 가격인가? 아니면 치과에 따라 충분히 현실성 있는 가격일까? 레진 빌드업이라면, 치료 받는 게 좋을까나! ..치과에 문의해 보겠습니다.
치료를 받지 않는 방안도 생각 중이야. 철저한 양치질로 충치를 정지시키는데 도전해 보려는 심산. 이제 나 음식물 섭취하면 무조건 양치질 해. 치간칫솔 써. 그리고 점심 저녁 먹은 후에는 치실을 사용하지. 치약은 현재 불소 함량이 1000ppm인데, 1500ppm으로 올릴 작정이야. 그리고 자기 전에 가글 1회. 리스테린 토탈케어 750ml 4통 사뒀습니다. (무알콜, 불소 함량 220ppm)
충치가 치아 외벽을 뚫기 전에 양치질을 잘 했으면 얼마나 좋아. 문풍지에 구멍 뚫린 다음에서야 부랴부랴 외양간 고치는 격이지만, 그래도 나름 최선을 다 해보려고. ...생니를 갈아내기 싫어. 치과에 종속되기 싫어. 혹시 나는 지금 공포에 찌들어 진실을 외면하고 있는 걸까? 관리만으로 충치를 멈추겠다니, 알량한 오리발인가? ..그래도 몇몇 논문에서는 양치질로 충치를 멈춘 사례가 있다고 하더만...
그나저나 유튜브에 치과 선생님들마다 얘기가 왜 이렇게 다른가? 누구는 잇몸치료 받아라, 누군 받지 마라. ..어느 누구는 충치치료 최대한 미뤄라, 다른 누구는 하루라도 빨리 받아라. ..레진이 좋네, 인레이가 좋네, 금이 좋네. ..종잡을 수가 없어. 치의학이 과연 학문(통일된 이론)이 맞는지 의구심마저 들더라니까.
이상. 사랑니를 다 뽑은 만큼, 이제 사랑니 앞에 있는 어금니 뒤까지 꼼꼼히 칫솔질 할 테야. ..다음 주에 사랑니 발치 부위 소독 겸해서 또 치과에 가거든? 그때 치과 선생님과 단판을 지어보려고.
제게 3개월을 더 주십시오. 사력을 다해 치아 관리하겠습니다. 정지 충치를 만드는데 도전해 보겠습니다. 3개월 후에 엑스레이 찍어봐서 충치가 계속 진행되면, 그땐 고분고분 치료 받겠습니다. 그리고 치료를 한다면 레진 빌드업으로 해 주세요. 부디 15만원으로! 선생님! 제발! ..라고 하면 진상 환자 되려나..
여러분에겐 건강한 치아가 가득하길. 내 과거로 돌아갈 수 있다면 치실을 반드시 사용하겠소! 내가 인접면 충치라니!
치과 대혁명? 이빨 다시 자라는 시대가 다가온다, 이빨 재생 세포의 미래, 최재천의 아마존 | 전지적관찰자시점





